545 West 236 St., Bronx, NY 10463

Existing Patients: (718) 548-1148

New Patients: (718) 414-6223

Smile Gallery

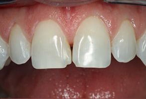
Riverdale Dental Arts | Dental Sealants, Snoring Appliances and Dental Fillings

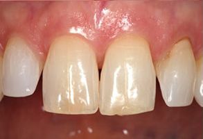
Before

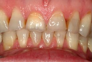
Riverdale Dental Arts | Dental Cleanings, Sleep Apnea and Sports Mouthguards

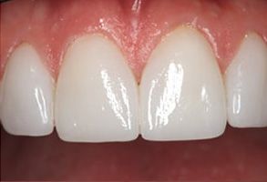
After

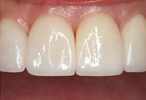
Riverdale Dental Arts | Dental Cleanings, Implant Dentistry and Ceramic Crowns

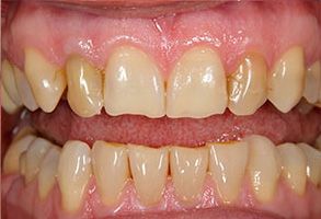
Before

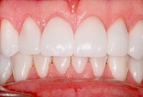
Riverdale Dental Arts | Root Canals, Night Guards and Sports Mouthguards

After

Riverdale Dental Arts | Snoring Appliances, Dental Cleanings and Oral Exams

Before

Riverdale Dental Arts | Teeth Whitening, Sleep Apnea and Ceramic Crowns

After

Riverdale Dental Arts | Sleep Apnea, Emergency Treatment and Ceramic Crowns

Before

Riverdale Dental Arts | Root Canals, Teeth Whitening and Intraoral Camera

After

Riverdale Dental Arts | Dental Sealants, Periodontal Treatment and All-on-6 reg

Before

Riverdale Dental Arts | Dental Fillings, Intraoral Camera and Dentures

After

Riverdale Dental Arts | Periodontal Treatment, Extractions and Preventative Program

Before

Riverdale Dental Arts | Cosmetic Dentistry, Sports Mouthguards and Ceramic Crowns

After

Riverdale Dental Arts | Digital Radiography, Dentures and Dental Bridges

Before

Riverdale Dental Arts | Sports Mouthguards, Oral Exams and Preventative Program

After

Existing Patients: (718) 548-1148
New Patients: (718) 414-6223
Fax: (718) 548-0400